Serum za rast in krepitev trepalnic

15 Nov

Serum za rast trepalnic je odličen kozmetični pripomoček, ki deluje kot najhitreje delujoči naravni stimulator za rast, krepitev in gostoto trepalnic in tudi obrvi. To pomeni, da trepalnice z nanešenimi učinkovinami postanejo bolj dolge, goste in privihane, brez da bi se morali posluževati dragih in zamudnih postopkov za namestitev umetnih trepalnic. …

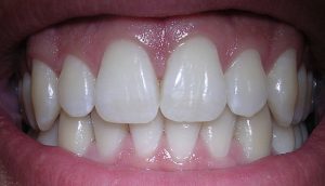
Nevidni zobni aparat za zdrave zobe in lep nasmeh

21 Jul

Nevidni zobni aparat Clear Aligner je bil posebej razvit za zdravljenje zobovja odraslih, pri čemer učinkovito in za pacienta povsem udobno popravlja nepravilnosti in omogoča gladko poravnavo zob, brez uporabe neprijetnih zaponk, zakovic in vijakov. Konvencionalni kovinski elementi so pri tej ortodontski napravi zamenjani z brezbarvnimi in prozornimi folijami, ki imajo biokompatibilno oprijemalno smolo za čvrst oprijem. …

Zakaj je tako pomembno, da ostanete fit?

22 Dec

Beseda fit je že dlje časa del našega besedišča. Verjetno jo tudi sami uporabljate pogosto, saj si želite postati fit. To ne pomeni samo, da imate idealno telesno težo. Biti fit pomeni veliko več. To pomeni, da imate več mišične mase in manj maščob. Na tehtnici bi to lahko pomenilo celo kak kilogram več, na metru pa kak centimeter manj.

Če želite postati fit, boste s prebiranjem koristne literature na www.ostanifit.si kaj kmalu spoznali, da je to pravzaprav enostavna naloga. Ugotovili pa boste, da je veliko težje ostati fit. V nadaljevanju vam razkrivamo, kako lahko na povsem enostaven način postanete …

Do FIT telesa s športno aktivnostjo

8 Nov

Želite izgubiti tistih nekaj odvečnih kilogramov in ponosno pokazati svoje lepo oblikovano in fit telo? Najbrž že dobro veste, da boste morali spremeniti prehranjevalne navade, poleg tega pa poskrbeti še za fizično aktivnost. Le-ta je namreč nujna za izgubo odvečne telesne teže. Poraba energije med telesno aktivnostjo je odvisna od tega, kakšno vadbo boste izbrali. Čim več mišic bo udeleženih, večja bo poraba energije, s tem pa kurjenje kalorij.…

Presaditev las je tudi pri nas iskana storitev

27 Okt

Lasje so zagotovo za človeka izjemnega pomena. Imajo številne naloge, med katerimi sta tudi to, da so pomembne za varovanje naše glave in tudi za to, da je naš celotni zunanji videz veliko lepši. Na žalost pa ima kar dosti ljudi težave z njimi. Nekateri jih imajo preveč, spet drugi pa se ukvarjajo še z veliko večjim problemom. Pri tem mislimo tudi na plešavost. Ta je značilna predvsem za moške, pogosto pa jo lahko opazimo celo pri ženskah. Za slednje velja, da se s plešavostjo verjetno še težje spopadajo kot moški.…

Krema proti gubam

Krema za gube, po kateri posegajo tudi najbolj zahtevne ženske

28 Avg

Naša koža se z leti stara in na to so občutljive še posebej ženske. Nekaterim se staranje kože navzven pozna že zelo kmalu, zato stalno iščejo sredstva, ki bi jim pomagala do tega, da bi bila njihova koža ponovno videti vsaj nekaj let mlajša. Najbolj izpostavljen del je vsekakor obraz, zato je krema za gube, po kateri posegajo, pogosto namenjena predvsem temu delu našega telesa.…

Mind Lab Pro ali Optimind

24 Avg

Več ljudi me je vprašalo, kaj si mislim o Optimindu, znanem nootropiku. Na podlagi večih mnenj, ki jih lahko najdete na Googlu, nekateri ljudje raje uporabljajo Mind Lab Pro, drugi pa Optimind.

Glavna razlika je, da Optimind vsebuje kofein. Zato lahko pričakujete blage do srednje močne navale energije, ki se pri Mind Lab Pro ne zgodijo.

Glasba in njen vpliv na otroka

29 Jul

Ste vedeli, da se od vseh naših čutov najprej razvije sluh, to pa se zgodi že v maminem trebuhu? Zato zvok in seveda glasba dokazano vplivata na počutje otroka, saj se lahko pohvalita tudi s terapevtsko močjo. Kakšno vlogo ima torej glasba v otrokovem življenju? Kako vpliva na njegov razvoj in dobro počutje? O tem bomo govorili v današnjem članku.

Seveda pri tem ne govorimo o kakršni koli glasbi, ampak o glasbi, ki je narejena prav za otroke. Zato je še kako pomembno, da glasbo skrbno izberemo in jo predvajamo otroku. S tem bomo otroku približali bogat svet različnih zvokov …

Beljenje zob za opazne in dolgotrajne razlike

6 Apr

Ljudje v določeni starosti ugotovimo, da naši zobje niso več tako lepi na pogled, kot so bili nekoč. Njihova oblika je sicer lahko povsem lepa, toda moti nas barva. Zaradi določene hrane ter pijače se nam zobje z leti obarvajo. Barva, ki nastane, nikakor ni privlačna. Ponavadi je to rumena, pri nekaterih ljudeh pa že skoraj rjava. Navzven to deluje sila neprivlačno. Ljudje se zato vse pogosteje odločajo za storitev, ki se imenuje beljenje zob. Zanjo je značilno, da je izjemno enostavna ter hitra. Razlike po beljenju so vsekakor izjemno opazne, razlika pa je dolgotrajna.…